L’Art Dentaire, cabinet du Docteur POCHAT et associés
Chirurgiens-Dentistes à NOYELLES-GODAULT proche de HÉNIN-BEAUMONT
7 rue de Verdun, 62950 NOYELLES-GODAULT
+33 3 21 76 34 34
L’Art Dentaire, cabinet du Docteur POCHAT et associés
Chirurgiens-Dentistes à NOYELLES-GODAULT proche de HÉNIN-BEAUMONT

L'orthodontie - Page 2

Appareil multi-attache lingual

Appareil multi-attache lingual

Traitement orthodontique esthétique par gouttières

Traitement orthodontique esthétique par gouttières

Prévention : scellement de sillons chez l'enfant

Prévention : scellement de sillons chez l'enfant

Le quad helix : traitement du palais et de l’alignement des dents

Le quad helix : traitement du palais et de l’alignement des dents

Orthodontie : la traction d'une canine palatine incluse

Orthodontie : la traction d'une canine palatine incluse

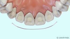
Fil de contention

Fil de contention

Affichage des articles 7-12 sur 23